- 췌장암 초기증상 체크리스트 목차
췌장암 초기증상 체크리스트

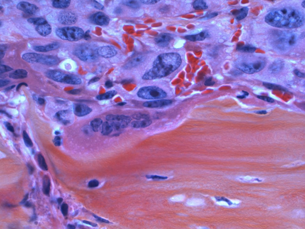
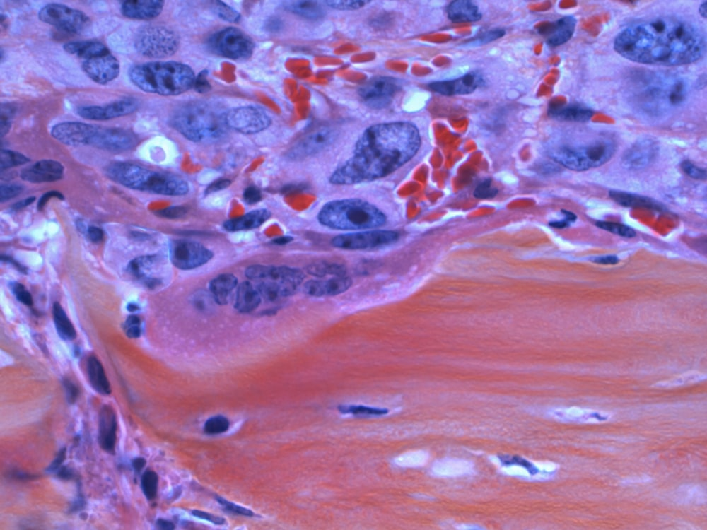
췌장암 초기증상이란?


췌장암 초기증상
- 소화 시스템 변화: 소화 불량, 복통, 구토, 설사 등
- 체중 감소: 갑자기 체중 감소가 있는 경우
- 피부 변화: 황달, 가려움증, 피부가 노랗게 변하는 것
- 온몸 변화: 피로, 근육 손실, 혈당 변화 등
저희 췌장암 초기증상 체크리스트 두 번째 절반을 강화하고 수정해보겠습니다.
불안한 심정: 췌장암의 초기증상 중 하나로 불안하거나 우울한 심정을 느낄 수 있습니다. 예를 들어, 갑자기 우울해지거나 불안해지는 경우가 있습니다.
체중 감소: 갑자기 체중이 감소하는 것도 췌장암의 초기증상 중 하나일 수 있습니다. 만약 다이어트나 운동을 하지 않았는데도 체중이 감소한다면 의사와 상담하는 것이 좋습니다.

소화 문제: 소화 문제도 췌장암의 초기증상으로 나타날 수 있습니다. 소화 불량, 구토, 설사 등의 증상이 나타나면 즉시 의사를 만나는 것이 중요합니다.
피로감: 갑자기 피로감을 느끼는 경우도 췌장암의 초기증상일 수 있습니다. 지속적으로 피로를 느낀다면 의사에게 상담해보세요.
위험인자: 만약 가족 중에서 췌장암을 앓은 사람이 있다면, 나도 췌장암에 걸릴 위험이 있을 수 있습니다. 가족력을 조사해보고 적절한 검사를 받아보는 것이 좋습니다.

어쨌든 상세한 사항은 의사와 상의하시는 것이 중요합니다.
이러한 증상을 종합해보면 췌장암의 초기증상에 대한 체크리스트가 됩니다.
- 불안한 심정을 느낄 때
- 갑자기 체중이 감소하는 경우
- 소화 문제가 지속될 때
- 갑자기 피로감을 느낄 때
- 가족력에 췌장암 환자가 있는 경우
의심되는 증상이 있다면 즉시 의사에게 상담하는 것이 중요합니다. 당신의 건강을 최우선으로 여기십시오.

췌장암 초기증상 체크리스트
췌장암의 초기증상
- 소화 불량
- 체중 감소
- 복부 통증
- 식욕 부진
- 만성 설사

| 췌장암의 초기증상 | 해석 |
|---|---|
| 소화 불량 | 음식 소화가 잘 안되는 증상 |
| 체중 감소 | 체중이 갑자기 줄어드는 현상 |
| 복부 통증 | 복부에서 지속적으로 나타나는 통증 |
| 식욕 부진 | 식욕이 갑자기 없어지거나 줄어드는 증상 |
| 만성 설사 | 오랫동안 계속되는 설사의 증상 |
췌장암의 초기증상 체크리스트는 다음과 같습니다:
- 복통: 지속적이고 심한 복통
- 체중 감소: 갑자기 몸무게가 줄어들었을 때
- 식욕 부진: 음식을 잘 먹지 않는 것
- 약해진 상태: 갑자기 피로하거나 체력이 떨어지는 경우
- 소화 불량: 소화가 잘 되지 않는 증상
| 증상 | 설명 |
|---|---|
| 복통 | 췌장암으로 인한 심한 복통 |
| 체중 감소 | 갑자기 몸무게가 줄어드는 증상 |
| 식욕 부진 | 음식을 잘 먹지 않는 상태 |
| 약해진 상태 | 갑자기 피로하거나 체력이 떨어지는 증상 |
| 소화 불량 | 소화가 잘 되지 않는 증상 |
이처럼 췌장암의 초기증상 체크리스트를 통해 자가 진단을 할 수 있습니다. 만약 이러한 증상이 지속된다면 즉시 의료진과 상담하는 것이 중요합니다.
신속한 진단으로 조기 발견이 가능하며 치료가 빠를수록 췌장암으로 인한 위험이 줄어듭니다.
조기 발견에 도움이 된다면 살아남을 확률을 높일 수 있으므로 주기적인 건강 검진과 이러한 초기증상 체크리스트를 응용하여 건강을 챙겨야 합니다.
췌장암 초기증상 및 예방법

췌장암의 초기증상
- 복통과 복통
- 소화 불량 및 소화 불량
- 체중감소 및 체중감소
- 식욕부진 및 식욕부진
- 분별하기 어려운 소화관 질환이 발생하는 경우
제가 작성한 췌장암의 초기증상 체크리스트를 향상시키고 수정해보겠습니다.

1. 체중 감소 2. 소화 불량 3. 배 및 등 불편함
4. 얼굴부터 시작하는 홍조 5. 현기증과 경련 6. 변비 또는 설사 7. 복부 부패와 압통
8. 복통 9. 두통 10. 혈액 내의 당도 증가 11. 식욕부진 12. 체력 감소
위의 초기증상 체크리스트를 사용하여 자가진단을 한 뒤 증상이 지속된다면 반드시 의료진을 찾아 상담해보시기 바랍니다.


췌장암은 초기에 증상이 나타나지 않을 수 있기 때문에 조기 발견이 중요합니다.
- 체중 감소
- 소화 불량
- 배 및 등 불편함
- 얼굴부터 시작하는 홍조
- 현기증과 경련
- 변비 또는 설사
- 복부 부패와 압통
- 복통
- 두통
- 당도 증가
- 식욕부진
- 체력 감소



당뇨 초기증상 알아본다면
당뇨 초기증상 알아본다면당뇨 초기증상 알아본다면 당뇨 초기증상자주 오는 소변 볼 때갈증과 배부름이 지속될 때체중 변화가 심해질 때증상의미자주 오는 소변 볼 때신체 내의 포도당 수
insight.jdworks1.com
비에날17유산균 부작용 3가지
비에날17유산균 부작용 3가지유산균 비에날17 복용 시 부작용 예방법 유산균 비에날17을 복용할 때 발생할 수 있는 부작용을 예방하는 방법에 대해 알아보겠습니다. 적절한 용량과 시기: 유
insight.jdworks1.com
BNR17 유산균 효능 7가지
bnr17 유산균 효능 7가지BNR17 유산균의 효능 BNR17 유산균은 체지방 감소와 장 건강을 동시에 지원하여 지속적인 신체 조절에 도움이 됩니다. 다양한 장 건강 이점을 제공하며 체지방을 감소시키
insight.jdworks1.com
건강보험료 산정기준 체크리스트 3가지
건강보험료 산정기준 체크리스트 3가지건강보험료 산정기준 핵심 3가지ㅁ 주요 내용건강보험료 산정할 때의 기준에 대한 핵심 요소들을 이해하고 준비하세요.국민 건강보험법과 건강보험
insight.jdworks1.com
'인증된정보' 카테고리의 다른 글
| 구운계란 유통기한 알아본다면 (1) | 2024.06.05 |
|---|---|
| 청란 효능 이건 몰랐네? (0) | 2024.06.05 |
| 혈당스파이크 증상 예방법 베스트 5 (0) | 2024.06.05 |
| 당뇨 초기증상 알아본다면 (1) | 2024.06.05 |
| 에너지바우처 잔액조회 빠른 방법 3가지 (0) | 2024.06.02 |